Implantologie assistée par ordinateur

Pourquoi l'Implantologie assistée par ordinateur (IAO) ?

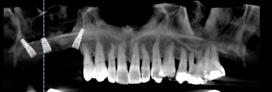
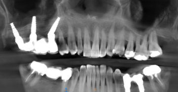
A partir de votre radio 3D réalisée au cabinet, nous lisons votre examen grace à des logiciels permettant une simulation précise du positionnement de vos implants dans l’os.

Cette vision 3D de l’implant dans l’os et en rapport avec les futures dents permet une reflexion « graftless », c’est a dire une implantologie nécessitant un minimum de greffe osseuse, donc plus rapide et moins mutilante.

Les avantages de l'implantologie assistée par ordinateur

  • Elle diminue de façon significative le temps d’intervention chirurgicale et les suites opératoires (œdème et douleur)
  • Si la stabilité des implants dentaires est satisfaisante, le patient peut ressortir à la fin de l’intervention avec une prothèse provisoire fixe et esthétique
  • Le projet implantaire peut être présenté visuellement au patient avant l’intervention, et les résultats sont prédictibles esthétiquement
Retour en haut